Wall Street Dental Smile Gallery
Beautiful smiles delivered by a dental team that cares
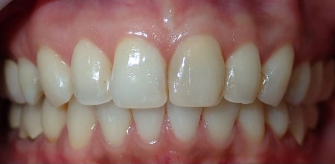
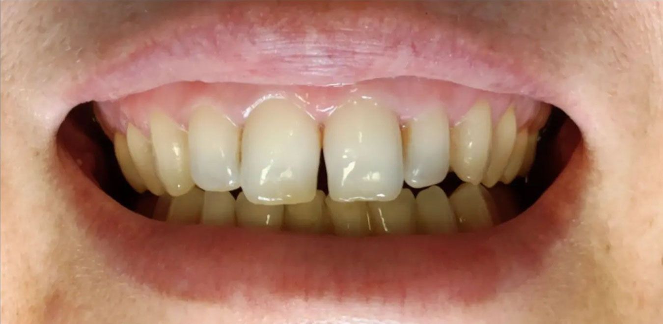
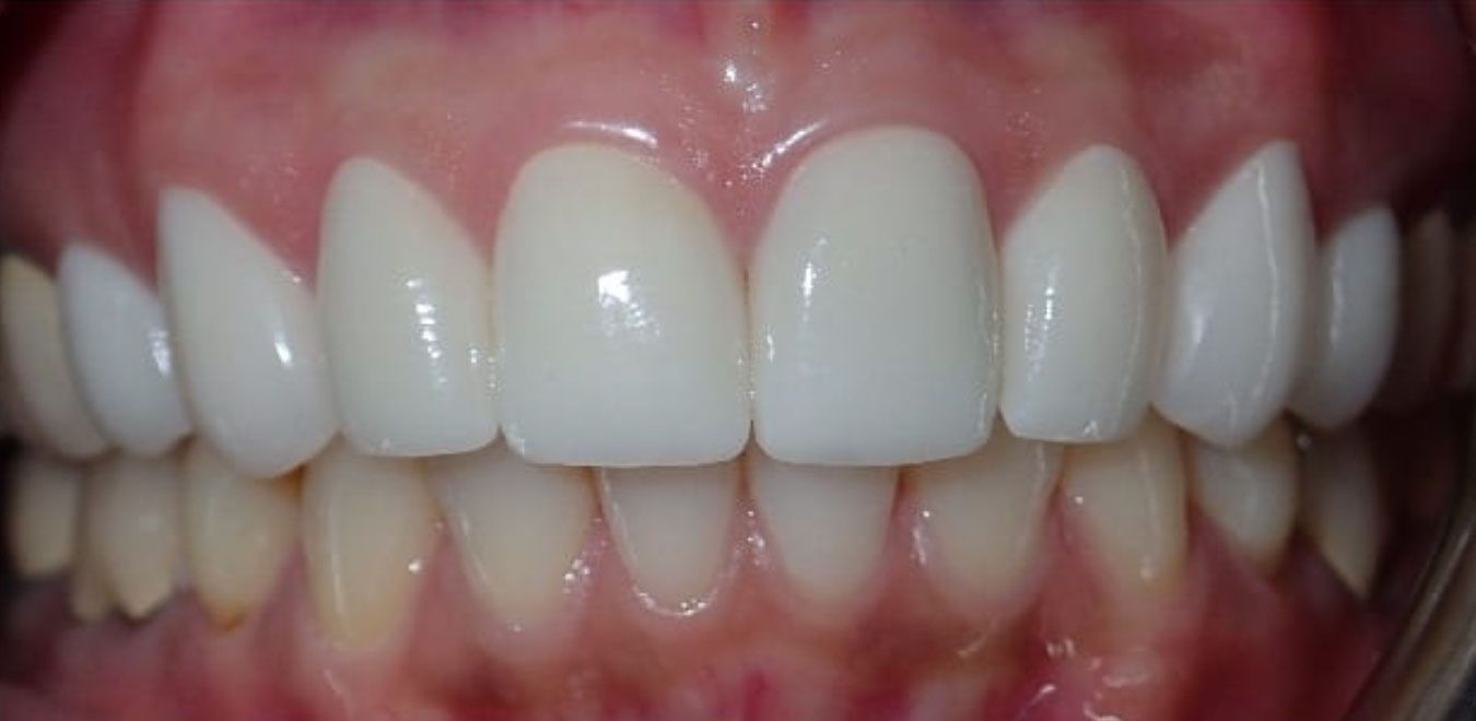
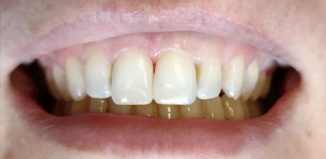
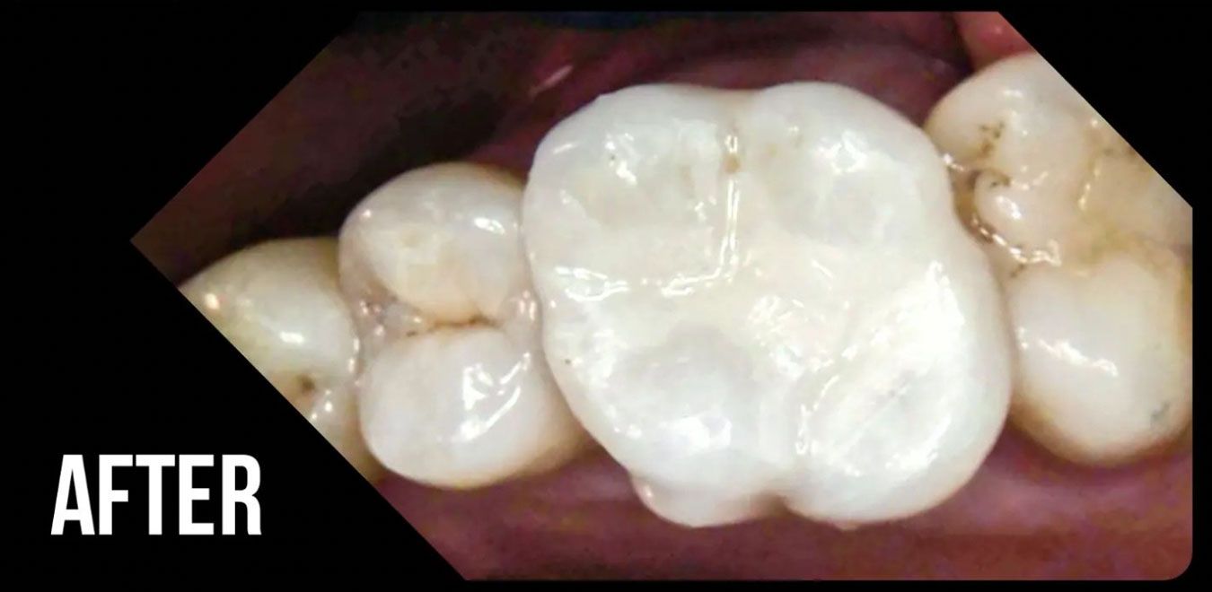
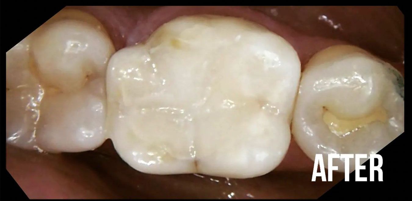
Smile Success Stories
Explore our curated collection of real-life smile transformations that highlight the expertise and care provided by our dedicated dental team.
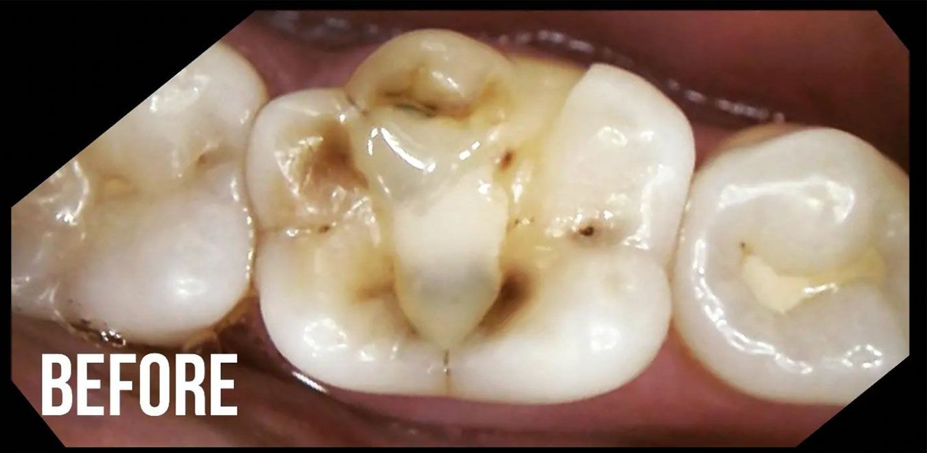
Before & After



Root Canals



Dental Fillings



Get started on your brand-new smile
Ready to start your smile transformation? Schedule a consultation with our experienced team to discuss your goals, address any concerns, and embark on the path to a brighter, healthier, and more confident smile.
Hear from our patients
Absolute gem of a dental office! Everyone from the front office to the dentist was super friendly and helpful. Dr. Nagpal was very thorough and calm and explained everything very clearly. Got great results, and I can’t stop smiling!
— Rob W.
Wall Street Dental is hands down THE BEST dental office I have visited. Dr. Nagpal and Dr. Gaddam and the staff are warm, friendly, and extremely knowledgeable. They are professional and always do an amazing job caring for my teeth.
— Isabel M.
Wall Street Dental deserves a 10/10 in every area of service they offer. This place is amazing and the staff is grade A. I’ve never looked forward to going to a dentist until I found this place. Give your teeth the treatment they deserve by booking with Wall Street Dental! You won’t regret it.
— Mark H.
Office Hours
Tuesday: 8:30-8:00pm
Wednesday: 8:30-5:00pm
Thursday: 8:30-8:00pm
Fri-Sun: Closed
Looking for a new dentist?
We’re looking forward to welcoming you to our practice!





